IHC・ISH試薬 Molecular Diagnostics Division
保管温度2~8℃
用手法用 ヒストステイナー用 ヒストステイナーAT用
IgG(polyclonal)Immunoglobulin G
■動物種:ウサギ
■使用目的:組織・細胞中の免疫グロブリンGタンパク質の染色。
ホルマリン固定パラフィン包埋切片の免疫染色に使用できる。
研究用としてのみ使用すること。
■資料
リーフレット
スクロールで確認できます→
用手法用
ヒストステイナー用
ヒストステイナーAT用
※弊社へお問い合わせください
特異性及び抗原分布
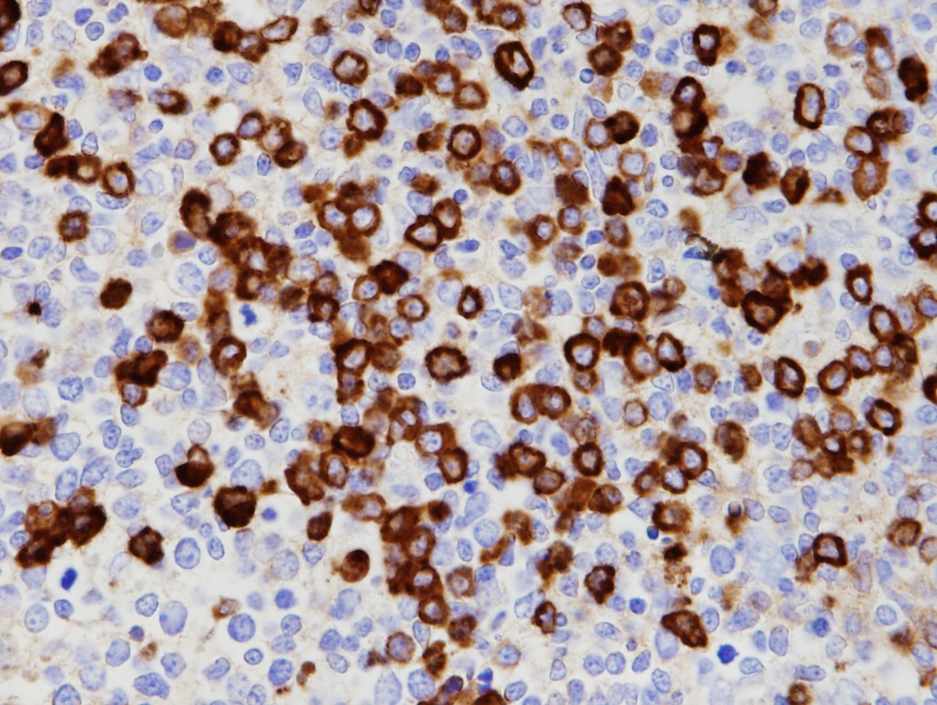
ヒト免疫グロブリンGの重鎖(γ)と反応する。免疫グロブリン(Ig)は形質細胞により産生される糖タンパク質であり、2本の重鎖と2本の軽鎖からなる(1)。ヒト免疫グロブリンは、重鎖の種類(α、δ、ε、γ、μ)に基づき、IgA、IgD、IgE、IgG、IgMの5つのクラスに分類される(1)(2)。ヒトIgGには、IgG1、IgG2、IgG3、IgG4の4つのサブクラスが存在し、分子量は約150kDaで、ヒト免疫グロブリン全体の約75%、循環血漿タンパク質全体の10~20%を占めている(1)~(3)。免疫組織化学染色においては、正常および腫瘍性の形質細胞の細胞質に発現がみられ、結合組織や血清中のIgGも検出される。自己免疫性肝疾患においては、IgM/IgG陽性形質細胞比が自己免疫性肝炎(AIH)と原発性胆汁性胆管炎(PBC)の判別に役立つと報告されている(4)。IgG4関連疾患においては、IgG4陽性形質細胞の多数の浸潤が見られ、IgG4/IgG陽性形質細胞比が判別補助に用いられている(5)。
文献
(1)Patel P, et al. Immunoglobulin. [Updated 2023 Aug 28]. In: StatPearls [Internet]. Treasure Island (FL): StatPearls Publishing; 2025 Jan-. Available from: https://www.ncbi.nlm.nih.gov/books/NBK513460/
(2)Janeway CA Jr, et al. Immunobiology: The Immune System in Health and Disease. 5th edition. New York: Garland Science; 2001. Available from: https://www.ncbi.nlm.nih.gov/books/NBK10757/
(3)Kdimati S, et al. Cancer-Cell-Derived IgG and Its Potential Role in Tumor Development. Int J Mol Sci. 2021 Oct 27;22(21):11597.
(4)Moreira RK, et al. Diagnostic utility of IgG and IgM immunohistochemistry in autoimmune liver disease. World J Gastroenterol. 2010 Jan 28;16(4):453-7.
(5)Umehara H, et al. The 2020 revised comprehensive diagnostic (RCD) criteria for IgG4-RD. Mod Rheumatol. 2021 May;31(3):529-533.
食道
