IHC・ISH試薬 Molecular Diagnostics Division
保管温度2~8℃
用手法用
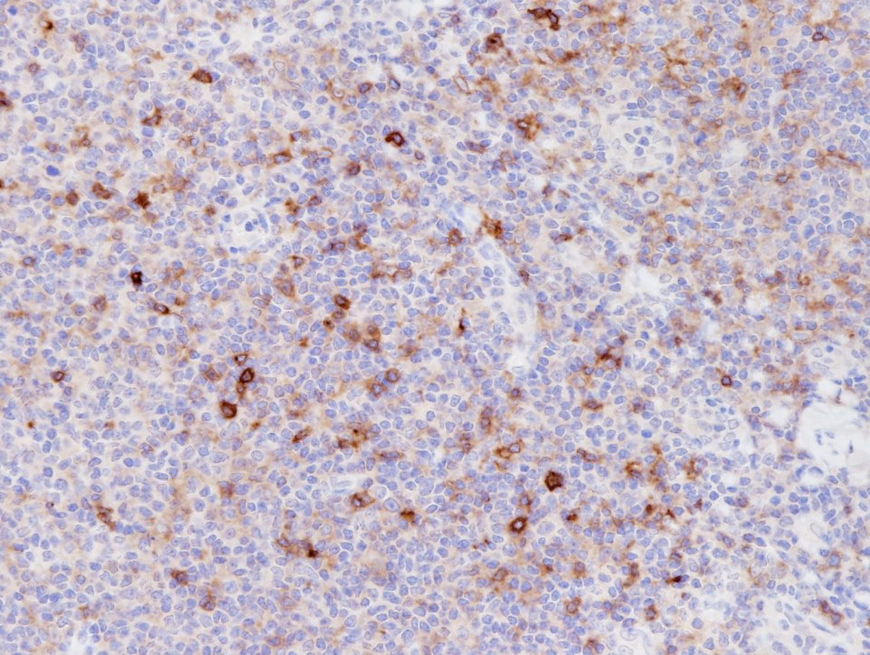
CD25(EP218)Tac、IL-2Rα
■動物種:ウサギ
■クローン名:EP218
■使用目的:組織・細胞中のCD25抗原の染色。
ホルマリン固定パラフィン包埋切片の免疫染色に使用できる。
研究用としてのみ使用すること。
スクロールで確認できます→
用手法用
ヒストステイナー用
ヒストステイナーAT用
※弊社へお問い合わせください
特異性および抗原分布
ヒトCD25(別名: Tac)抗原と特異的に反応する。CD25は分子量55kDaの膜貫通糖タンパク質で、インターロイキン-2レセプター(IL-2R)のα鎖であり、単体ではIL-2に対して低親和性レセプターであるが、CD122(IL-2Rβ)およびCD132(共通γ鎖、γc)と三量体を形成することで高親和性レセプターとなる(1)~(5)。この高親和性レセプター(三量体)がIL-2と結合することで、制御性T細胞(Treg)へのシグナル伝達による免疫寛容や、エフェクターT細胞(Teff)へのシグナル伝達による免疫活性化に関与する(3)~(5)。正常では、制御性T細胞、活性化T細胞、NK細胞、樹状細胞などの細胞膜に発現がみられる(3)~(7)。腫瘍では、成人T細胞白血病/リンパ腫(ATLL)、有毛細胞白血病、肥満細胞症、未分化大細胞型リンパ腫、ホジキンリンパ腫などに発現がみられる(2)(6)。骨髄生検標本におけるCD25の免疫組織化学染色は、非腫瘍性肥満細胞では発現がみられず、腫瘍性肥満細胞では発現がみられることから、全身性肥満細胞症の判別に用いられている(6)(8)。
注) CD25を発現している細胞は、細胞膜の他に細胞質にも弱~中程度の染色がみられることがある。
文献
(1) Franke A, et al. Interleukin-2 receptor α (IL-2Rα/CD25) shedding is differentially regulated by N- and O-glycosylation. Biochim Biophys Acta Mol Cell Res. 2025 Jan;1872(1):119863.
(2) Damoiseaux J. The IL-2 - IL-2 receptor pathway in health and disease: The role of the soluble IL-2 receptor. Clin Immunol. 2020 Sep;218:108515.
(3) Lokau J, et al. The soluble IL-2 receptor α/CD25 as a modulator of IL-2 function. Immunology. 2024 Mar;171(3):377-387.
(4) Liao W, et al. Interleukin-2 at the crossroads of effector responses, tolerance, and immunotherapy. Immunity. 2013 Jan 24;38(1):13-25.
(5) Shouse AN, et al. Interleukin-2 signaling in the regulation of T cell biology in autoimmunity and cancer. Immunity. 2024 Mar 12;57(3):414-428.
(6) Dabbs DJ, editor. Diagnostic Immunohistochemistry. 5th ed. Philadelphia, PA: Elsevier; c2019. 932p.
(7) Abel AM, et al. Natural Killer Cells: Development, Maturation, and Clinical Utilization. Front Immunol. 2018 Aug 13;9:1869.
(8) Ustun C, et al. Systemic mastocytosis: current status and challenges in 2024. Blood Adv. 2025 May 13;9(9):2048-2062.
食道
