IHC・ISH試薬 Molecular Diagnostics Division
保管温度2~8℃
用手法用 ヒストステイナー用 ヒストステイナーAT用
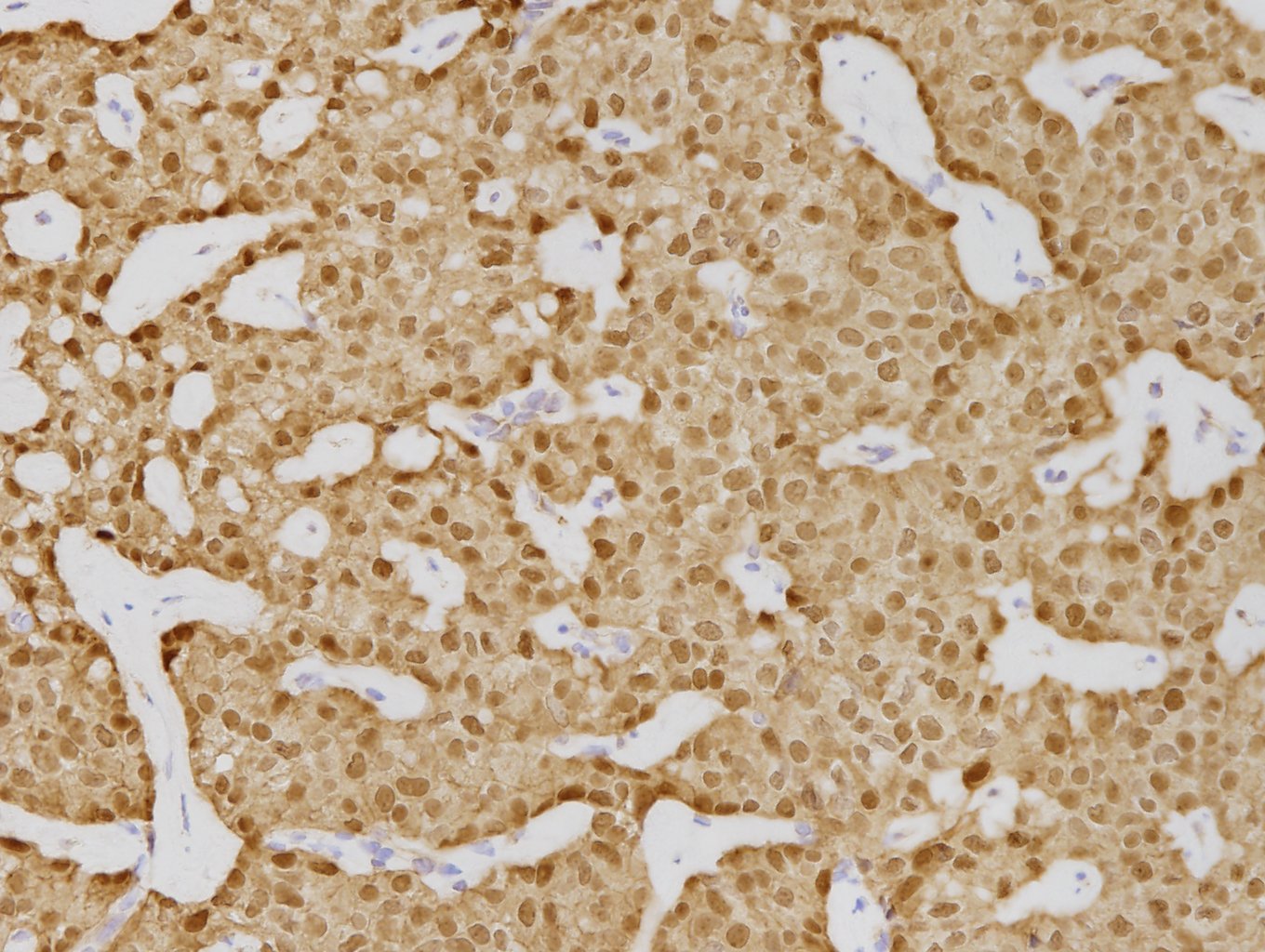
β-cateninBeta-catenin
■動物種:マウス
■クローン名:14
■使用目的:組織・細胞中のβ-cateninタンパク質の染色。
ホルマリン固定パラフィン包埋切片の免疫染色に使用できる。
研究用としてのみ使用すること。
■資料
リーフレット
スクロールで確認できます→
用手法用
ヒストステイナー用
ヒストステイナーAT用
※弊社へお問い合わせください
特異性および抗原分布
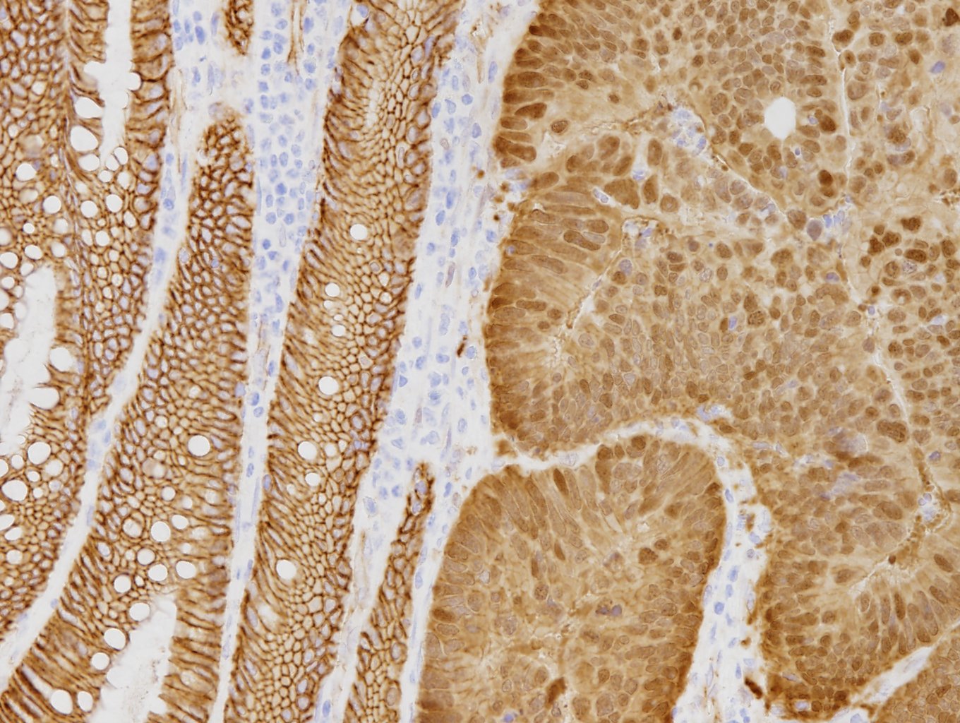
β-cateninタンパク質と特異的に反応する。β-cateninはCTNNB1遺伝子によってコードされる781アミノ酸からなるタンパク質である(1)。β-cateninにはカドヘリン・カテニン複合体を形成し細胞間接着を制御する役割と、Wnt/β-cateninシグナルにおいて転写を活性化し細胞増殖や分化を制御する役割がある(1)~(4)。Wntシグナルが活性化すると、細胞質内のβ-cateninは分解されずに蓄積、その後核内に移行し、腫瘍形成に関与すると考えられている(1)~(4)。正常では、細胞間接着の制御のため、主に上皮細胞や内皮細胞などの細胞膜に発現がみられる(1)~(3)。腫瘍では、大腸腺癌、充実性偽乳頭状腫瘍(SPN)、肝細胞癌、デスモイド型線維腫症、Basal-like型乳癌などにおいて、核や細胞質への移行や蓄積がみられる(4)~(9)。免疫組織化学染色を用いてβ-cateninの核での発現を確認することは、原発巣および転移巣において、Cytokeratin7およびCytokeratin20と組み合わせることで大腸腺癌(粘液癌を除く)の判別に役立つ可能性がある(5)。また、E-cadherinと組み合わせることで膵臓の神経内分泌腫瘍(NET)とSPNの判別に有用であると報告されている(6)。加えて、デスモイド型線維腫症の判別に有用であり、特に針生検など検体が限られている場合に瘢痕組織との判別に役立つと報告されている(7)。
文献
(1) Wang B, et al. β-Catenin: oncogenic role and therapeutic target in cervical cancer. Biol Res. 2020 Aug 5;53(1):33.
(2) B.Alberts, et al. Molecular Biology of the Cell, 7th ed. New York:W. W. Norton & Company; 2022. 1404p.
(3) Sun L, et al. Wnt/β-catenin signalling, epithelial-mesenchymal transition and crosslink signalling in colorectal cancer cells. Biomed Pharmacother. 2024 Jun;175:116685.
(4) Ng TL, et al. Nuclear beta-catenin in mesenchymal tumors. Mod Pathol. 2005 Jan;18(1):68-74.
(5) Wong SC, et al. Prognostic and diagnostic significance of beta-catenin nuclear immunostaining in colorectal cancer. Clin Cancer Res. 2004 Feb 15;10(4):1401-8.
(6) Ohara Y, et al. Pancreatic neuroendocrine tumor and solid-pseudopapillary neoplasm: Key immunohistochemical profiles for differential diagnosis. World J Gastroenterol. 2016 Oct 14;22(38):8596-8604.
(7) Hornick JL. Novel uses of immunohistochemistry in the diagnosis and classification of soft tissue tumors. Mod Pathol. 2014 Jan;27 Suppl 1:S47-63.
(8) Khalaf AM, et al. Role of Wnt/β-catenin signaling in hepatocellular carcinoma, pathogenesis, and clinical significance. J Hepatocell Carcinoma. 2018 Jun 27;5:61-73.
(9) Khramtsov AI, et al. Wnt/beta-catenin pathway activation is enriched in basal-like breast cancers and predicts poor outcome. Am J Pathol. 2010 Jun;176(6):2911-20.
食道

